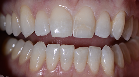
When considering the rejuvenation of your smile, porcelain veneers in Vancouver BC, offer a natural, lasting solution to achieve the smile of your dreams. These thin, durable porcelain shells are bonded to the front surface of your teeth, enhancing their color, spacing, size, and shape. At Bentall Dental Centre, our team is dedicated to providing exceptional care and personalized treatment. Experience the transformative power of porcelain veneers and reveal your true radiance with us.
Porcelain veneers are fabricated from an incredibly stain-resistant material that mimics the natural light-reflecting properties of real teeth to give you the most natural, life-like appearance to your new smile. With advances in 3D scanning technology and laboratory material techniques, porcelain veneers have become a more conservative treatment option than they once were. The degree of tooth shaping required to fit veneers today is significantly less than it once was. In fact, combining Invisalign to create proper alignment and orientation of your teeth with veneers often provides the most conservative treatment option to enhance your smile with minimal and sometimes almost no tooth shaping required.
To ensure your veneers last their full lifetime, our dentist will perform a comprehensive bite analysis to ensure your bite is balanced, allowing for the seamless function of your new teeth. If needed, Invisalign might be the desired treatment option to align and balance your bite. If you are considering an improvement to the color, size, or shape of your teeth or even a full smile makeover, porcelain veneers in Vancouver BC, are an ideal treatment option to deliver life-changing results and the smile you have always desired!





